390693286451

390693286451
Clone number:
Isotype: mouse monoclonal antibody
Cellular localization: cell membrane
Tissue: paraffin/frozen
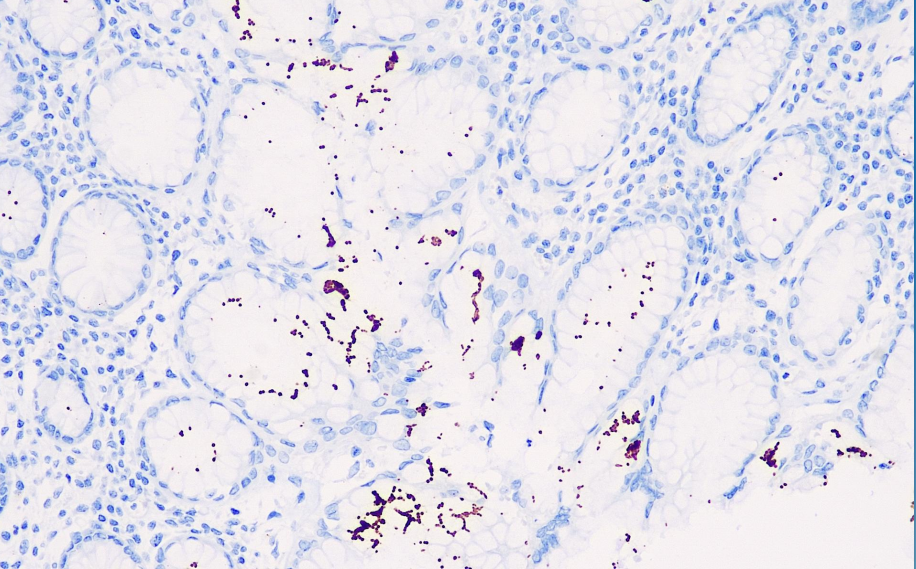
Positive control: H. pylori infected stomach tissue
Antibody incubation time: 30-60min
Antigen repair: Thermal repair (EDTA)
Helicobacter pylori is a gram-positive bacterium with a flagellum, which has a correlation with the development of peptic ulcers and gastric cancer. Studies have proven that more than 90% of duodenal ulcers and about 80% of gastric ulcers are caused by H. pylori infection.
Helicobacter pylori antibody reagents can specifically bind to Helicobacter pylori molecular antigens. Immunohistochemistry kits containing Helicobacter pylori antibody reagents are suitable for the precise diagnosis of Helicobacter pylori (Hp) infection.