8461558550979

8461558550979
Clone number:
Homozygous:
Cellular localization: cytoplasmic
Tissue: paraffin/frozen
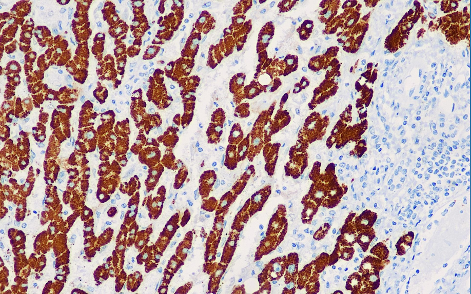
Positive control: Liver
Antibody incubation time: 30-60min
Antigen repair: Heat repair (EDTA)
The antigen recognized by this antibody is present in normal human liver cells and most hepatocellular carcinomas, but does not react with many other human tumors, including gastrointestinal tumor cells. This antibody can stain the vast majority of hepatocellular carcinomas and is mainly used in liver tumor research.
Hepatocyte antibody reagents can specifically bind to hepatocyte molecular antigens. Immunohistochemistry kits containing hepatocyte antibody reagents are suitable for the precise diagnosis of hepatocellular carcinoma.