128324708801485

128324708801485
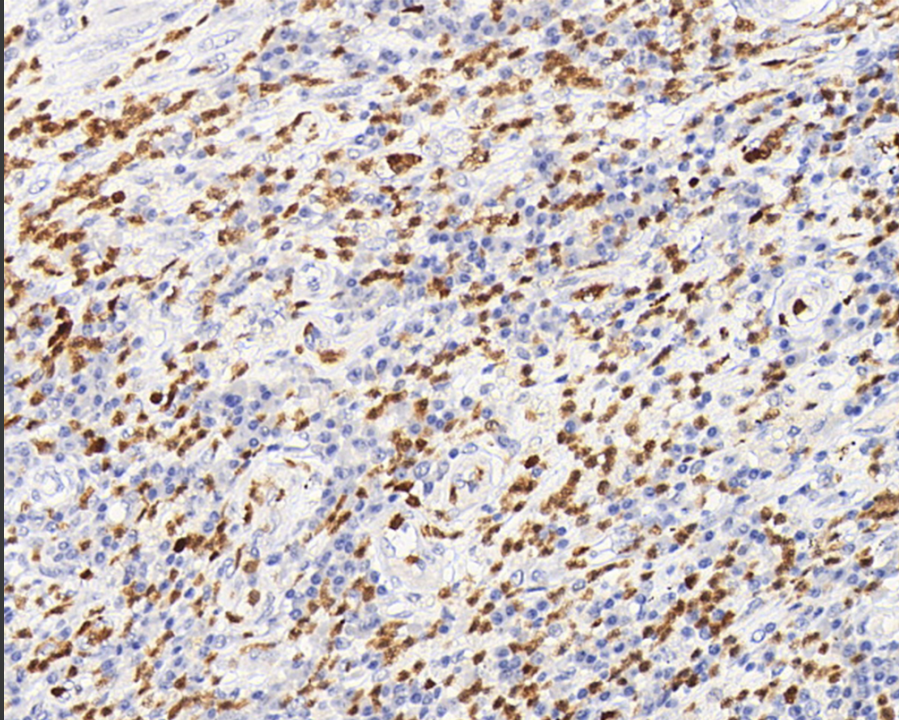
Clone number: EP118
isotype: rabbit monoclonal antibody
Cellular localization: nucleus
Tissue: paraffin/frozen
Positive control: squamous skin carcinoma
Antibody incubation time:
Antigen repair:heat repair (citric acid)
HIF-1α upregulates several genes to promote survival in a hypoxic environment. These very important regulatory genes (erythropoietin, nitric oxide synthase, heme oxidase, and glucose transporter proteins) together with vascular growth factors play an important role in the stabilization of the internal environment under hypoxia. It has been demonstrated that tumors promote metastasis by inducing MET overexpression under hypoxia. The pathogenesis of metastasis in hypoxic tumors is not well understood, and it is generally believed that HIF-1α is a very critical mediator in the cellular response to hypoxia, which binds to the promoter of MET and increases MET expression. In breast cancer, overexpression of MET is associated with tumor metastasis and poor prognosis.
HIF-1α antibody reagents can specifically bind to HIF-1α molecular antigens. Immunohistochemistry kits containing HIF-1α antibody reagents are suitable for assessing tumor hypoxia microenvironments.