128223277591485

128223277591485
Clone number:
Isotype:
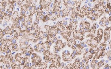
Cellular localization: cytoplasm/membrane
Tissue: paraffin/frozen
Positive Control: Liver Cancer/Hodgkin's Lymphoma/Colon Cancer/Ovary
Antibody Incubation Time: 1 hour
Antigen repair: heat repair (citric acid)
HSPs are a group of stress proteins induced by cell stimulation by stressors and are associated with tumorigenesis, proliferation and differentiation. They can be categorized into 3 types according to their molecular weight, and the distribution and function of each type of HSPs are different.HSP60 is mainly used in the study of tongue squamous carcinoma, colon carcinoma, pancreatic carcinoma, and breast carcinoma, and it may have prognostic significance.
The HSP60 antibody reagent can specifically bind to the HSP60 molecule antigen. The immunohistochemical kit containing the HSP60 antibody reagent is suitable for precise diagnosis of tongue squamous cell carcinoma, colon cancer, pancreatic cancer and breast cancer.