
Clone number: polyclonal
isotype: rabbit polyclonal antibody
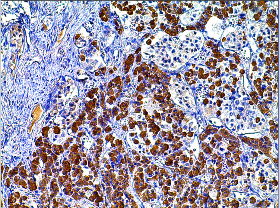
Cellular localization: cytoplasm
Tissue: paraffin/frozen
Positive control: Pituitary gland
Antibody incubation time: 30-60min
Antigen repair: Heat repair (EDTA)
Growth hormone is a hormone synthesized and secreted by growth hormone cells in the anterior lobe of the pituitary gland. It can promote protein synthesis and bone development. This antibody can react with human GH and has a weak cross-reaction with hormones such as prolactin, TSH, LH and FSH. It is mainly used in the research of functional classification of pituitary adenomas.
Human Growth Hormone antibody reagents can specifically bind to Human Growth Hormone molecular antigens. Immunohistochemical kits containing Human Growth Hormone antibody reagents are suitable for the auxiliary diagnosis of growth hormone deficiency or resistance syndrome.