
Clone number: RM417
isotype: rabbit monoclonal antibody
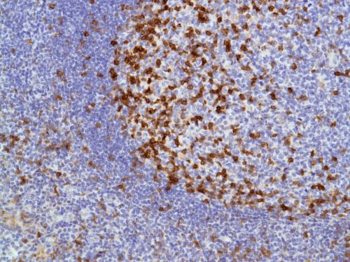
Cellular localization: cytoplasm/membrane
Tissue: paraffin section
Positive Control:
Antibody incubation time:
Antigen Repair:
Inducible Co-Stimulator (ICOS), also known as CD278, is a member of the B7-1/B7-2-CD28/CTLA-4 family of co-stimulators, and requires both TCR and CD28 signaling for its inducible expression.ICOS is mainly expressed on activated CD4 cells, effector T cells and memory T cells. memory T cells, which are one of the targets of immunotherapy.ICOS expression is increased in T-cell lymphomas, especially high in angioimmunoblastic T-cell lymphomas, which can be used for diagnosis and differential diagnosis of angioimmunoblastic T-cell lymphomas.
ICOS antibody reagents can specifically bind to ICOS molecular antigens. Immunohistochemical kits containing ICOS antibody reagents are suitable for the precise diagnosis of vascular immunomother T-cell lymphoma.