209399143242

209399143242
Clone number: polyclonal
isotype: rabbit polyclonal antibody
Cellular localization: cytoplasm
Tissue: paraffin/frozen
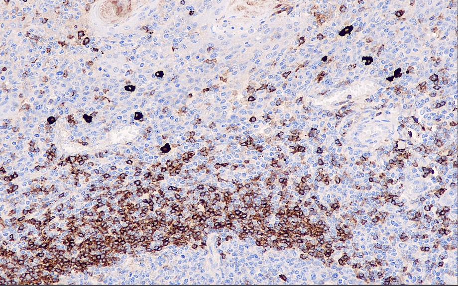
Positive control: tonsils
Antibody incubation time: 30-60min
Antigen repair: Heat repair (EDTA)
IgD can label the δ chain of IgD in cells, assisting in the differential diagnosis of lymphoma, plasma cell tumor and B-cell-derived Hodgkin's lymphoma. It is mainly used in the research of lymphatic system tumors.
IgD antibody reagents can specifically bind to IgD molecular antigens. Immunohistochemical kits containing IgD antibody reagents are suitable for the auxiliary diagnosis of lymphoma, plasmacytoma and B-cell-derived Hodgkin's lymphoma.