209399143242

209399143242
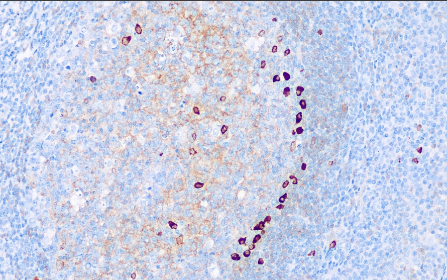
Clone number: polyclonal
isotype: rabbit polyclonal antibody
Cellular localization: cytoplasm/membrane
Tissue: paraffin/frozen
Positive control: tonsils
Antibody incubation time: 30-60min
Antigen repair: Heat repair (citric acid)
IgM can be used as a reference for the μ chain of immunoglobulin IgM and is applicable in the research of lymphoma, plasma cell tumor and B-cell-derived Hodgkin's lymphoma. It can also be used for the functional classification of glomerulonephritis and the research of some immune diseases.
IgM antibody reagents can specifically bind to IgM molecular antigens. Immunohistochemical kits containing IgM antibody reagents are suitable for the precise diagnosis of lymphoma, plasma cell tumor and B-cell-derived Hodgkin's lymphoma.