7601453462880

7601453462880
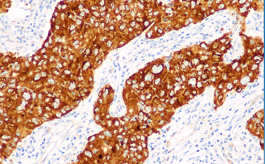
Clone number: EP286
isotype: rabbit monoclonal antibody
Cellular localization: cytoplasm/membrane
Tissue: paraffin/frozen
Positive control: Lung adenocarcinoma/cervical squamous carcinoma
Antibody incubation time: 30-60min
Antigen repair: Heat repair (EDTA)
insulin-like growth factor II mRNA-binding protein 3 (IMP3) regulates the transcription of insulin-like growth factor during embryo formation It is expressed in some tumor cells such as lung squamous cell carcinoma, lung adenocarcinoma and pancreatic cancer, while its expression in normal tissues (except the gonads) can be ignored. In addition, IMP3 is expressed in melanoma, mesothelioma, epithelial carcinoma and soft tissue sarcoma originating from the bladder, cervix, colon, esophagus and stomach. At the same time, it can be used as a prognostic reference for renal cell carcinoma. The 5-year survival period of IMP3-positive renal cell carcinoma is much shorter than that of IMP3-negative renal cell carcinoma. It is worth noting that IMP3 can serve as an extremely important prognostic reference for invasive cervical squamous cell carcinoma. It is hardly expressed in CINI and CINII lesions, but has a very high positive rate in invasive cervical squamous cell carcinoma.
IMP3 antibody reagents can specifically bind to IMP3 molecular antigens. Immunohistochemical kits containing IMP3 antibody reagents are suitable for prognosis assessment of highly invasive tumors (such as pancreatic cancer, renal cell carcinoma, and ovarian cancer).