6841330418792

6841330418792
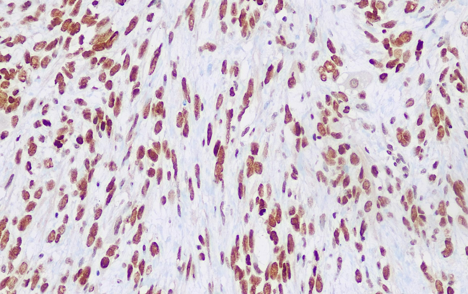
Clone number: 25
isotype: mouse monoclonal antibody
Cellular localization: nucleus
Tissue: paraffin/frozen
Positive control: Rhabdomyosarcoma
Antibody incubation time: 30-60min
Antigen repair: Heat repair (EDTA)
The INI-1 gene is the encoding gene of a protein component of unknown function in the hSWI/SNF chromatin remodeling complex, and mutations or deletions often occur in malignant rhabdoid tumors (MRT). The overall survival rate of MRT is relatively low compared to its suspected diseases (medulloblastoma and sPNETs). The characteristic of MRT is the lack of INI-1 nuclear markers. Most medulloblastomas and sPNETs are based on INI-1 as a reference, and thus can be used in the research of such diseases.
The INI-1 antibody reagent can specifically bind to the INI-1 molecular antigen. The immunohistochemical kit containing the INI-1 antibody reagent is suitable for the precise diagnosis of malignant rhabdoid tumor and epithelioid sarcoma.