93117105941078

93117105941078
Clone number: MRQ-70
Isotype: rabbit monoclonal antibody IgG
Cellular localization: nucleus
Tissue: paraffin/frozen
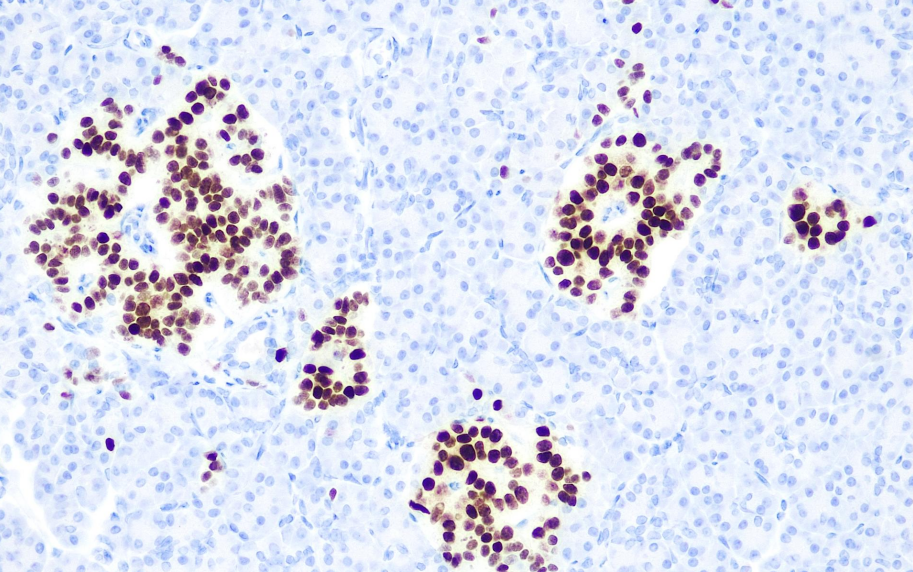
Positive control: Pancreas
Antibody incubation time: 30-60min
Antigen repair: Heat repair (EDTA)
The INSM-1 gene is located on chromosome 20p11 and is also known as KLF16. It was first reported in 1992 and is a zinc finger protein with DNA-binding transcriptional regulatory functions. It plays a significant role in neurogenesis and neuroendocrine differentiation and can serve as a broad-spectrum neuroendocrine marker. The sensitivity is comparable to Synaptophysin and CD56, and superior to Chromogranin A.
The INSM-1 antibody reagent can specifically bind to the INSM-1 molecular antigen. The immunohistochemical kit containing the INSM-1 antibody reagent is suitable for the precise diagnosis of carcinoid, lung, head and neck endocrine tumors, primary central nervous system tumors, small cell carcinoma and Merkel cell carcinoma originating from the prostate and cervix.