7701472561891

7701472561891
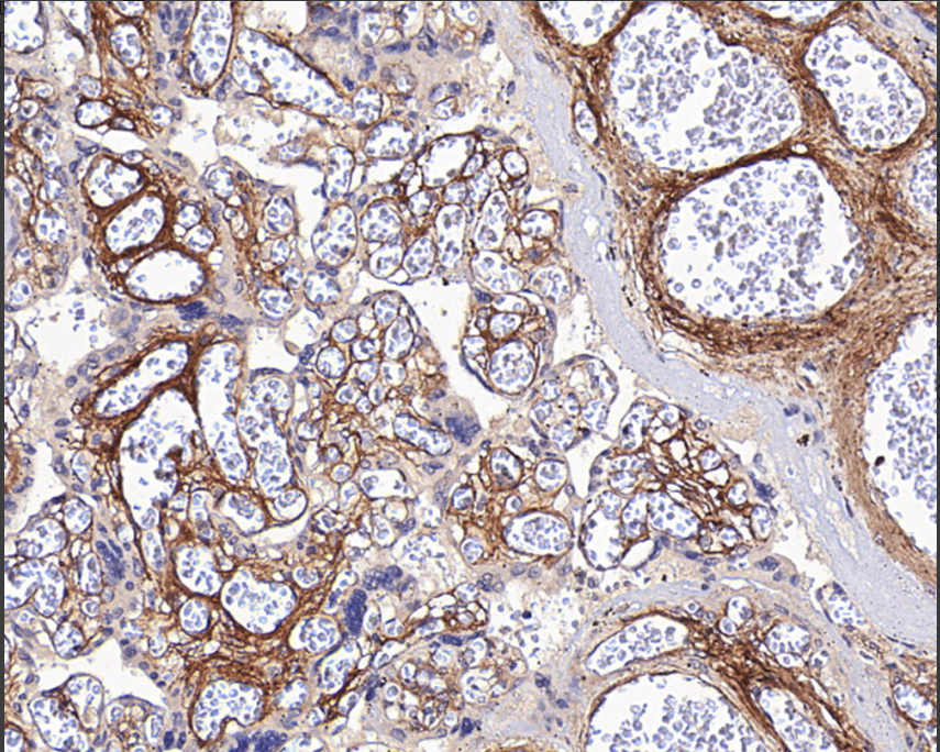
Clone number: EP236
isotype: rabbit monoclonal antibody
Cellular localization: cytoplasm
reactivity: paraffin/frozen
Positive control: cartilage/chondrosarcoma
Antibody incubation time:
Antigen repair: heat repair (citric acid)
Type I collagen is mainly distributed in skin, bone, cornea, tendon and other tissues, and is an important component of the extracellular matrix. This antibody is mainly used in the study of the distribution of connective tissue proteins, epithelial/mesothelial interactions and basement membranes.
COllagen Type I antibody reagents can specifically bind to COllagen Type I molecular antigens. Immunohistochemical kits containing COllagen Type I antibody reagents are suitable for the assessment of fibrotic diseases (such as liver fibrosis, pulmonary fibrosis) and bone metabolism abnormalities (such as osteogenesis imperfecta).