6361235385737

6361235385737
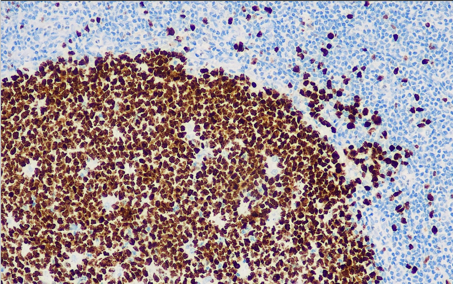
Clone number: SP6
Isotype: rabbit monoclonal antibody IgG1/K
Cellular localization: nucleus
Tissue: paraffin/frozen
Positive control: tonsils/breast cancer
Antibody incubation time: 30-60min
Antigen repair: Thermal repair (EDTA)
Ki-67 recognizes cells in cell cycles other than the G0 phase, and is used to determine the proliferative activity of cells, and is a marker for determining the growth status of benign and malignant tissues. Studies have shown that it is closely related to histologic typing of breast cancer and lymph node metastasis. Therefore it is an important reference index for the prognosis of certain malignant tumors.
The Ki-67 antibody reagent can specifically bind to the Ki-67 molecular antigen. The immunohistochemical kit containing the Ki-67 light chain antibody reagent is suitable for the assessment of tumor proliferation activity.