399760242462

399760242462
Clone number: MRQ-33
isotype: mouse monoclonal antibody
Cellular localization: cytoplasm/membrane
Tissue: paraffin/frozen
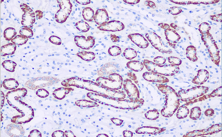
Positive Control: Kidney
Antibody incubation time: 30-60min
Antigen repair: Thermal repair (EDTA)
Ksp-Cadherin, as a member of the cadherin family of cell adhesion molecules, is a specific renal marker expressed on the basement membranes of renal tubular epithelial cells and collecting duct cells, but not in glomerulus, renal interstitial cells and blood vessels. Cadherin has a certain association with tumor dedifferentiation and lymph node metastasis. This antibody is used for the differentiation of renal tumor classification. It is positive for clear cell renal cell carcinoma and eosinophilic cell carcinoma but not expressed in chromophobe renal cell carcinoma.
The Ksp-Cadherin antibody reagent can specifically bind to the Ksp-Cadherin antigen. The immunohistochemical kit containing the Ksp-Cadherin antibody reagent is suitable for the precise diagnosis of renal tubule-derived tumors.