238456176275

238456176275
Clone number:
Homozygous:
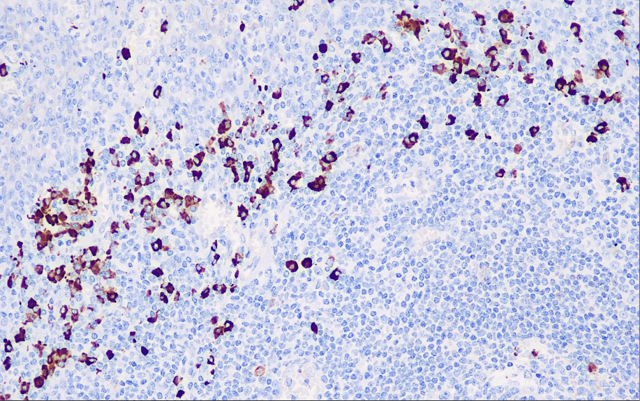
Cellular localization: cytoplasmic
Adaptive tissue: paraffin/frozen
Positive control: tonsils
Antibody incubation time: 30min
Antigen repair: Heat repair (EDTA)
This antibody reacts with the λ light chain of human immunoglobulin and has no cross-reaction with the κ light chain. B lymphocytes and plasma cells with λ light chains can be studied. The extracellular immunoglobulin λ light chains can also be stained, and it should be noted to distinguish them. The research suggests that the common feature of B lymphocyte tumors is that they are limited to the expression of a single light chain. Therefore, κ and λ light chains can be used in the study of benign and malignant lymphocytic lesions (reactive lymphocytic hyperplasia and lymphoma).
Lambda antibody reagents can specifically bind to Lambda antigens. Immunohistochemical kits containing Lambda antibody reagents are suitable for the precise diagnosis of benign and malignant lymphoid lesions.