209380165242

209380165242
Clone number:
Homozygous:
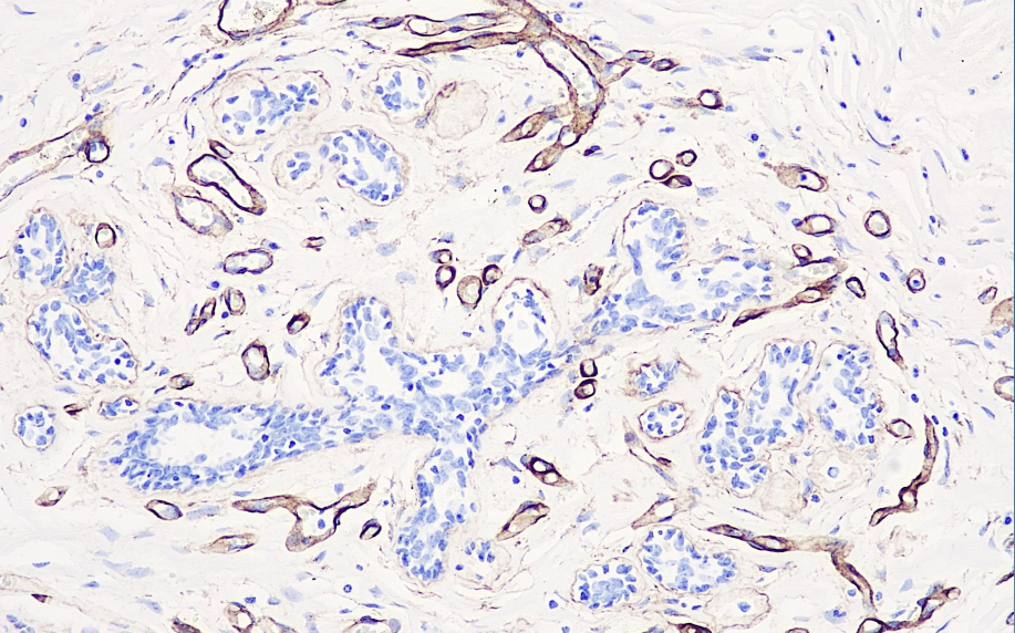
Cellular localization: cytoplasm/basement membrane
Adaptive tissue: paraffin/frozen
Positive control: kidney/mammary gland
Antibody incubation time: 30min
Antigen repair: enzyme repair
Laminin is one of the main components of the extracellular matrix, and the invasion and metastasis of tumors are related to its destruction. This antibody reacts with human laminin and can be used to study the basement membrane, which is helpful for researching the changes that occur in the basement membrane during different lesion processes, such as tumor invasion and metastasis.
Laminin antibody reagents can specifically bind to Laminin antigens. Immunohistochemical kits containing Laminin antibody reagents are suitable for the precise diagnosis of epidermolysis bullosa and glomerular diseases.