1672302110781936

1672302110781936
Clone number:
Homozygous:
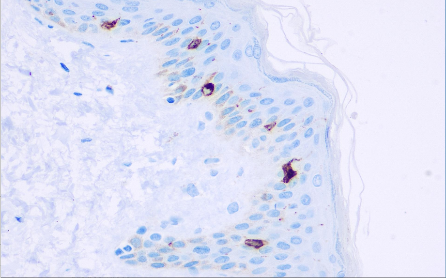
Cellular localization: cytoplasmic
Adaptive tissue: paraffin/frozen
Positive control: Thymus/Skin (Langerhans cells)
Antibody incubation time: 30-60min
Antigen repair: Heat repair (EDTA)
Langerin is a type II transmembrane C-type lectin that can be used to assist or replace CD1a in the research of Langerhans cell histiocytosis, especially in the case of Langerhans cell histiocytosis but lacking CD1a expression. The expression of Langerin is valuable for the research. Antibody combinations CD1a, langerin, CD21, CD23, CD35 and S100 are used to distinguish Langerhans cell histiocytosis, histiocytosarcoma, dendritic cell sarcoma, follicular dendritic cell sarcoma and diffuse granuloma. It is of great significance for Rosai-Dorfman disease (sinus histiocytosis with giant lymphadenopathy).
The Langerin antibody reagent can specifically bind to the Langerin antigen. The immunohistochemical kit containing the Langerin antibody reagent is suitable for the precise diagnosis of Langerhans histiocytosis and Langerhans sarcoma.