116921097701353

116921097701353
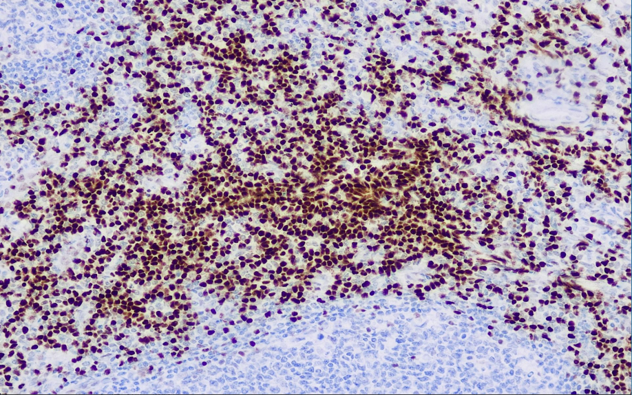
Clone number: EP310
Isotype: rabbit monoclonal antibody
Cellular localization: nucleus
Tissue: paraffin/frozen
Positive control: tonsils
Antibody incubation time: 30-60min
Antigen repair: Heat repair (EDTA)
LEF-1(Lymphoid Enhancer-binding Factor 1) : Lymphoid enhancer-binding factor 1, as a key transcription factor in the Wnt/β-catenin signaling pathway, regulates cell proliferation and survival. LEF-1 plays an important role in lymphocyte proliferation and is normally expressed in T cells and pre-B cells, but not in mature B cells. LEF-1 is a new biomarker for chronic lymphocytic leukemia/small lymphocytic lymphoma (CLL/SLL), but it is not a specific lymphocyte biomarker. It can be used to study CLL/SLL (especially when CD5 is negative and CD23 is difficult to interpret), and is also helpful in detecting tiny infiltration of CLL in the bone marrow.
The LEF-1 antibody reagent can specifically bind to the LEF-1 antigen. The immunohistochemical kit containing the LEF-1 antibody reagent is suitable for the precise diagnosis of B-cell precursor tumors and certain T-cell lymphomas.