5701083385660

5701083385660
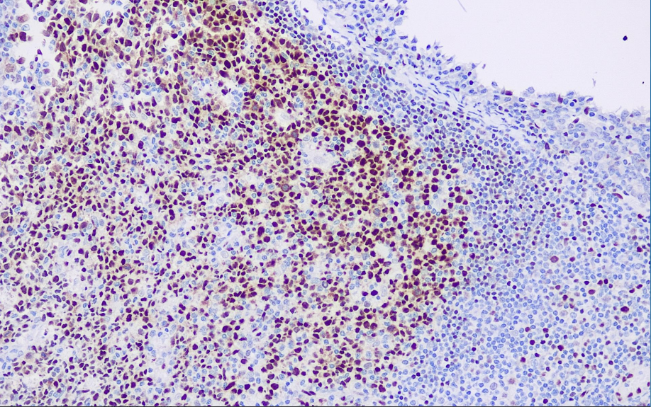
Clone number: SP51
isotype: mouse monoclonal antibody
Cellular localization: nucleus
Tissue: paraffin/frozen
Positive control: tonsils
Antibody incubation time: 30-60min
Antigen repair: Heat repair (EDTA)
LMO2 is expressed in normal germinal center B cells and in some tumors except those derived from bone marrow white blood cell precursors and endothelial cells. It is weakly expressed in mantle B cells but not in mantle cells and marginal zone lymphomas. The positive site is located in the nucleus. It is mainly used in the research of lymphohematopoietic system tumors.
LMO2 antibody reagents can specifically bind to LMO2 antigens. Immunohistochemical kits containing LMO2 antibody reagents are suitable for the precise diagnosis of lymphohematopoietic system tumors.