6081188385704

6081188385704
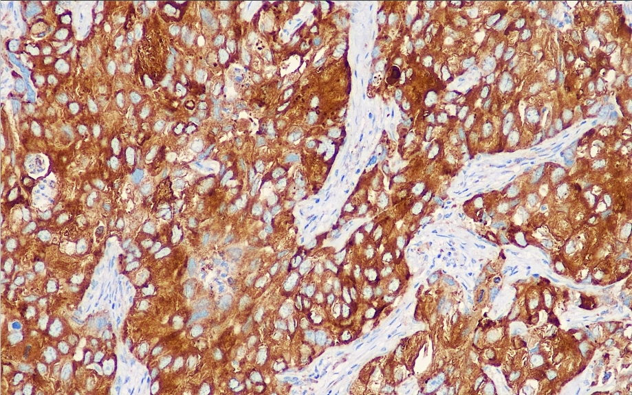
Clone number: 1032
isotype: mouse monoclonal antibody
Cellular localization: cytoplasm
Tissue: paraffin/frozen
Positive control: Lung adenocarcinoma
Antibody incubation time: 30-60min
Antigen repair: Heat repair (EDTA)
The molecular weight of lung cancer drug resistance protein (LRP) is 110kDa. It mainly develops resistance through drug transport disorders between the nucleus and cytoplasm, or by the drug entering the cytoplasmic vesicle to form a locular septum, thereby reducing the effective concentration of the target drug. The expression intensity of LRP in non-small cell lung cancer is significantly higher than that in small cell lung cancer. In non-small cell lung cancer, the expression intensity of lung squamous cell carcinoma and lung adenocarcinoma is higher than that of large cell undifferentiated carcinoma mixed tumors. Studies have shown that LRP is a prognostic reference for testicular germ cell tumors, and its expression indicates a poor prognosis and a short survival period. As a principal protein (MVP) of the fornix, LRP mediates resistance to alkylating agents and platinum that P-glycoprotein and MRP cannot mediate, which is of guiding significance for the selection of chemotherapy drugs.
LRP antibody reagents can specifically bind to LRP antigens. Immunohistochemical kits containing LRP antibody reagents are suitable for the assessment of multidrug resistance (MDR) in tumors such as lung cancer and ovarian cancer.