171304110198

171304110198
Clone number: polyclonal
isotype: rabbit polyclonal antibody
Cellular localization: cytoplasm
Tissue: paraffin/frozen
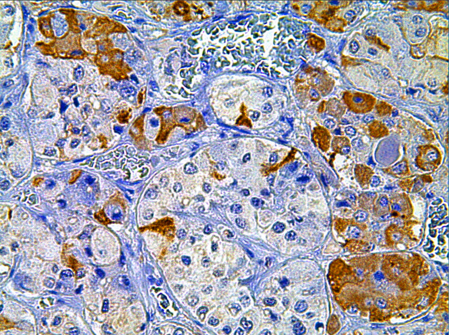
Positive control: Pituitary gland
Antibody incubation time: 30-60min
Antigen repair: Heat repair (citric acid)
Luteinizing hormone is a hormone secreted by pituitary cells. This antibody reacts with human luteinizing hormone and has a weak cross-reaction with thyroid stimulating hormone, follicle-stimulating hormone or human chorionic gonadotropin. It is mainly used in the research of functional classification of pituitary adenomas.
LH antibody reagents can specifically bind to LH antigens. Immunohistochemical kits containing LH antibody reagents are suitable for the typing of pituitary adenomas.