8081472495935

8081472495935
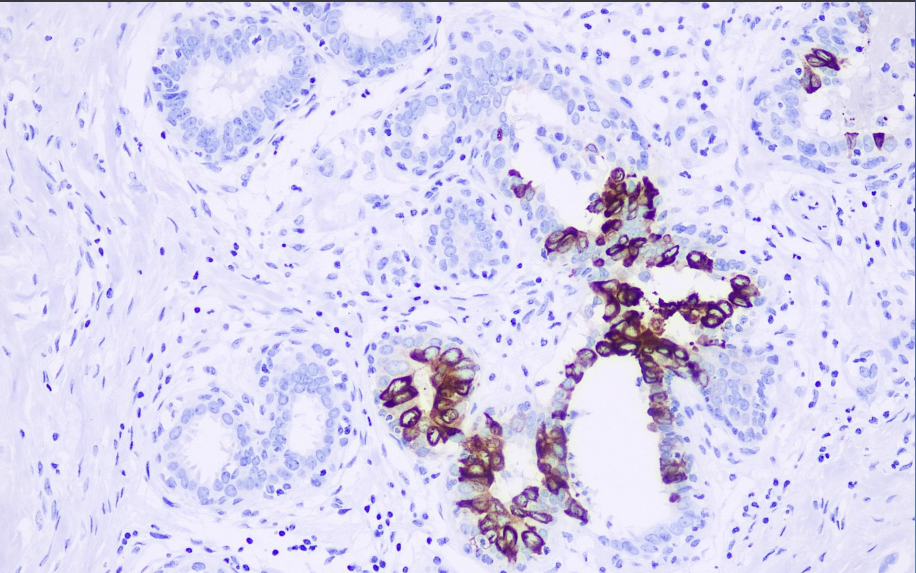
Clone Number: 304-1A5 & 31A5
Isotype: mouse & rabbit cocktail antibody IgG1 & IgG
Cellular localization: cytoplasm
Tissue: paraffin/frozen
Positive control: mammary gland
Antibody incubation time: 30-60min
Antigen repair: Heat repair (EDTA)
Mammary globulin is a mammary gland associated glycoprotein and is a distant relative of the secretin family, which includes uterine globulin and lipophilin. Unlike other members of the secretin family, the mRNA of mammary globulin is specifically expressed in breast tissue. Studies have shown that this protein is a sensitive reference for studying latent breast cancer cells in sentinel lymph nodes and peripheral blood. In the detection of paraffin tissue sections, the sensitivity of this antibody in detecting mammary globulin in breast cancer tissues is as high as 80%. When used in combination with other mammary specific references such as GCDFP-15, the sensitivity for detecting mammary globulin can reach up to 84%. Detection of mammary globulin plays a crucial role in studying whether primary cancer has metastasized.
The Mammaglobin antibody reagent can specifically bind to the Mammaglobin antigen. The immunohistochemical kit containing the Mammaglobin antibody reagent is suitable for the precise diagnosis of breast cancer.