285513176330

285513176330
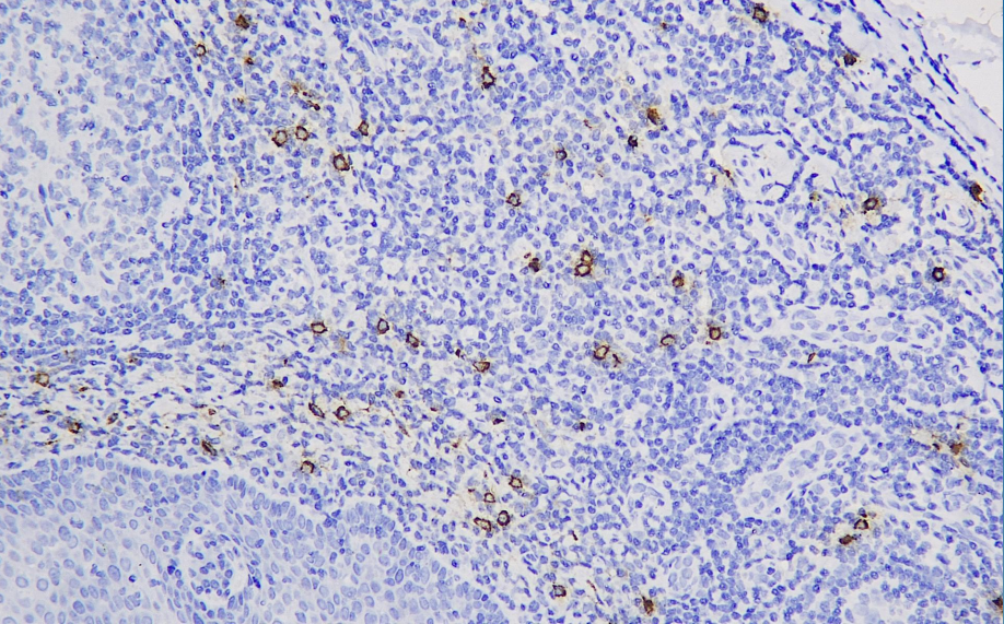
Clone number: G3
Isotype: mouse monoclonal antibody IgG
Cellular localization: cytoplasm
Tissue: paraffin/frozen
Positive control: tonsils
Antibody incubation time: 30-60min
Antigen repair: Heat repair (EDTA)
Mast Cell Tryptase (MCT) is the product of multiple genes and is the main neutral protease secreted by mast cells. This enzyme is the main component of mast cell secreted granules, accounting for more than 50% of the total protein content of mast cell secreted granules. Mast cell trypsin plays a significant role in inflammatory diseases such as cell infection and injury, especially in the pathological process of bronchoconstrictive asthma. It is widely distributed in the respiratory tract, gastrointestinal tract, skin and other tissues, and is used in the research of respiratory and gastrointestinal system diseases. Trypsin promotes the growth of vascular endothelial cells, destroys the extracellular matrix, and is closely related to angiogenesis and tumor growth in tumors.
MCT antibody reagents can specifically bind to MCT antigens. Immunohistochemical kits containing MCT antibody reagents are suitable for the precise diagnosis of mast cell infiltration in mastocytic leukemia and cutaneous mastocytosis.