102619386161188

102619386161188
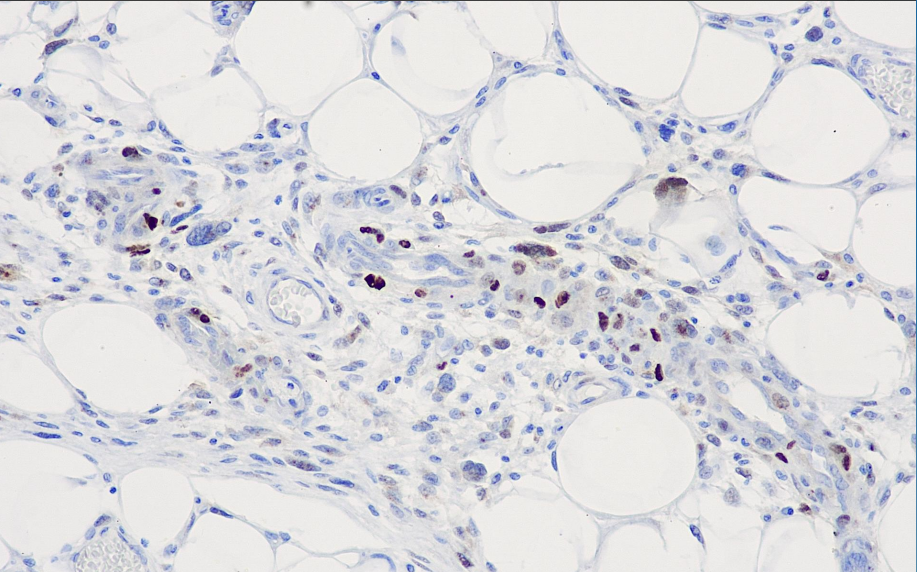
Clone number: IF2
isotype: mouse monoclonal antibody
Cellular localization: nucleus
Tissue: paraffin/frozen
Positive Control: Liposarcoma
Antibody incubation time: 60min
Antigen repair: Heat repair (EDTA)
MDM2 has a molecular weight of 90 kD and forms a complex with p53 protein. p53 and MDM2 are functionally interrelated, with activated p53 leading to the expression of MDM2, which in turn inhibits wild-type p53 from stimulating the expression of its target genes. MDM2 is commonly overexpressed in soft-tissue sarcomas, and to a lesser extent in breast cancers and glioblastomas.
The MDM2 antibody reagent can specifically bind to the MDM2 antigen. The immunohistochemical kit containing the MDM2 antibody reagent is suitable for the precise diagnosis of liposarcoma.