
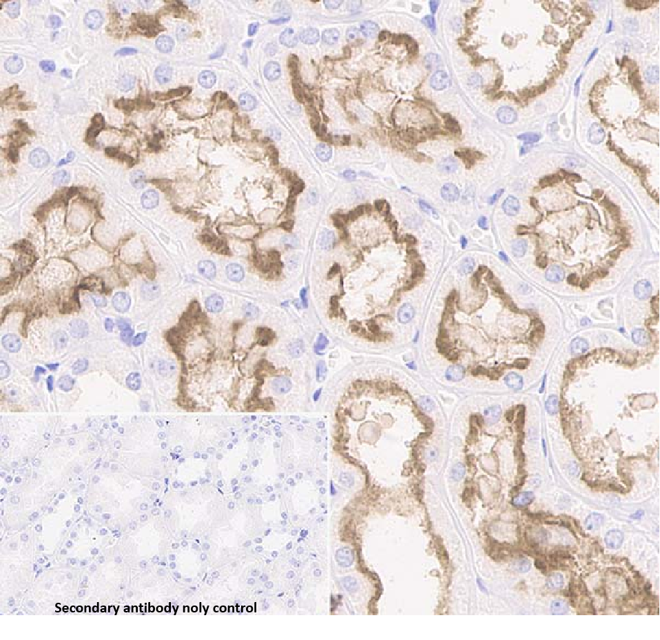
Clone number: C494
isotype: mouse monoclonal antibody
Cellular localization: cytoplasm/membrane
Tissue: paraffin section
Positive Control:
Antibody incubation time:
Antigen Repair:
MDR-1, also known as p-170, is a membrane glycoprotein encoded by the MDR gene, which is fed by ATP to rapidly pump cytotoxic drugs to the outside of the cell, and its expression level is related to the permeability of the cell membrane, the intracellular drug concentration, and the degree of cellular drug resistance. It is mainly used in the study of tumor drug resistance.
The MDR-1 antibody reagent can specifically bind to the MDR-1 antigen. The immunohistochemical kit containing the MDR-1 antibody reagent is suitable for the assessment of multidrug resistance in tumors.