371694220429

371694220429
Clone number:
Isotype:
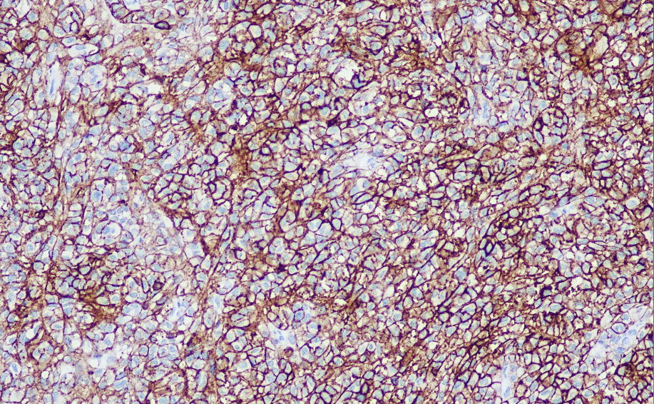
Cellular localization: cell membrane
Tissue: paraffin/frozen
Positive control: Malignant melanoma
Antibody incubation time: 30-60min
Antigen repair: heat repair (EDTA)
The melanoma-associated antigen KBA.62 has a sensitivity similar to that of S-100p, but it has high specificity for fibroblastoid, spindle cell melanoma and sentinel microlymph node metastasis.
Melanoma Associated Antigen antibody reagents can specifically bind to Melanoma Associated Antigen antigens. The immunohistochemical kit containing Melanoma Associated Antigen antibody reagent is suitable for the precise diagnosis of melanoma.