94017006161089

94017006161089
Clone number: UMAB56
Isotype: mouse monoclonal antibody IgG1
Cellular localization: nucleus/plasmid
Tissue: paraffin/frozen
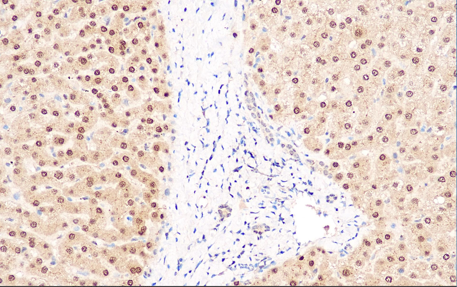
Positive Control: Liver
Antibody incubation time: 60min
Antigen repair: Thermal repair (Tris-EDTA)
MGMT(O6-methylguanine-DNA-methyltransferase) is a DNA repair enzyme with a molecular weight of 25kDa. The mechanism of action of alkylating agents of tumor chemotherapy drugs (such as BCNU, CCNU, DTIC, Procarbazine, Temozolomide, etc.) is to form lethal cross-links at the O6 position of guanine in DNA. MGMT can transfer alkyl groups from the guanine O6 position of DNA to cysteine residues, thereby restoring the complete structure of DNA. This transfer causes the loss of MGMT enzyme activity, so the MGMT level in cells is closely related to the DNA damage they can tolerate. Generally speaking, tumors with low expression of MGMT can be treated with the above-mentioned chemotherapy drugs. Conversely, it is drug resistance. It is highly expressed in the liver in normal tissues; Low-level expression in brain tissue and bone marrow.
The MGMT antibody reagent can specifically bind to MGMT antigen. The immunohistochemical kit containing MGMT antibody reagent is suitable for prognosis assessment and treatment prediction of glioma and colorectal cancer.