106419006381232

106419006381232
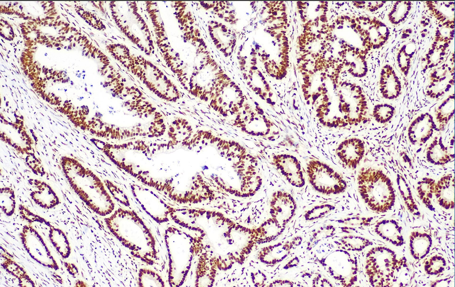
Clone number: ES05
Isotype: Mouse monoclonal antibody
Cellular localization: nucleus
Tissue: paraffin/frozen
Positive control: Colorectal cancer
Antibody incubation time: 60min
Antigen repair: Heat repair (EDTA)
The DNA Mismatch Repair System consists of enzymes that specifically repair DNA base mismatches to ensure high fidelity of DNA genetic material.The MLH1 gene is located on chromosome 3, and the 87kD protein product it encodes under normal conditions helps to repair errors arising from DNA replication. It is mainly used in tumor research.
The MLH1 antibody reagent can specifically bind to the MLH1 molecular antigen. The immunohistochemical kit containing the MLH1 antibody reagent is suitable for the precise diagnosis of Lynch syndrome (hereditary non-polyposis colorectal cancer, HNPCC) and sporadic microsatellite instability (MSI-H) tumors.