456874330528

456874330528
Clone number:
Isotype:
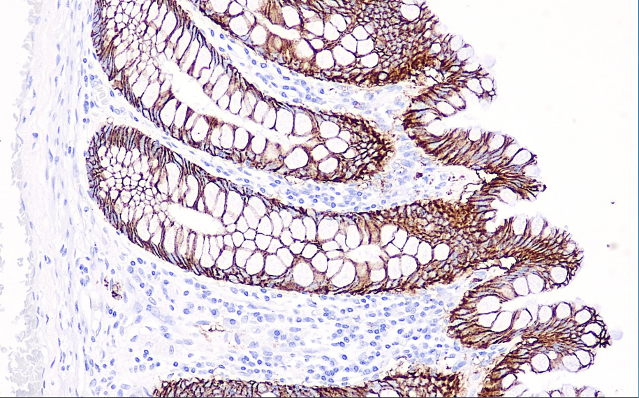
Cellular localization: cytoplasm/membrane
Adaptive tissue: paraffin/frozen
Positive control: Colorectal
Antibody incubation time: 30-60min
Antigen repair: enzyme repair
MOC antibodies are a group of antibodies that can react with different isotopes of lung cancer-related antigens. They can be divided into two groups. One group includes MOC-1, MOC-21, MOC-32 and MOC-52. They will preferentially react with small cell lung cancer (SCLC) and benign tumors. It is reported that they can detect frozen tissue sections. The second group is MOC31. It can react with various types of lung cancer, including SCLC. However, it is not expressed in normal and malignant mesenchymal cells and can be used in the research of adenocarcinoma and mesothelioma.
The MOC-31 antibody reagent can specifically bind to the MOC-31 molecular antigen. The immunohistochemical kit containing the MOC-31 antibody reagent is suitable for the precise diagnosis of adenocarcinoma and mesothelioma.