104519007151210

104519007151210
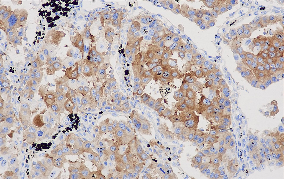
Clone number: DTX1
isotype: mouse monoclonal antibody
Cellular localization: cytoplasm/membrane
Tissue: paraffin/frozen
Positive control: Lung adenocarcinoma
Antibody incubation time: 30-60min
Antigen repair: Heat repair (EDTA)
The human polydrug resistance gene family contains at least six similar genes, which encode MRP-1, MRP-2, MRP-4, MRP-5 and MRP-6. Among them, MRP-3 is a complete membrane protein with a size of 190 to 200kDa, mainly used in the research of tumor drug resistance mediated by non-P-glycoprotein MRD.
The MRP3 antibody reagent can specifically bind to the MRP3 molecular antigen. The immunohistochemical kit containing the MRP3 antibody reagent is suitable for the assessment of multidrug resistance in tumors.