91216155611056

91216155611056
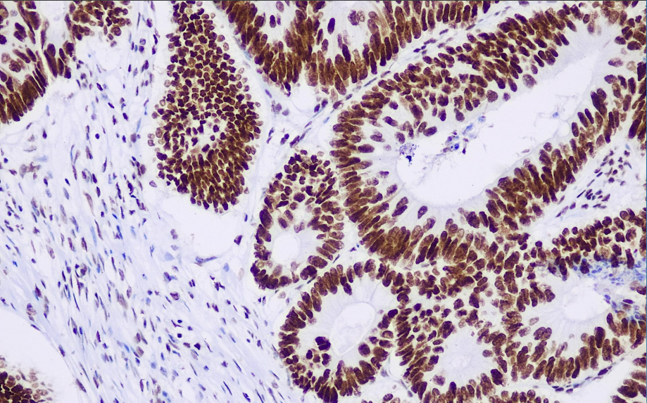
Clone number: RED2
isotype: rabbit monoclonal antibody
Cellular localization: nucleus
Tissue: paraffin/frozen
Positive control: Colorectal cancer
Antibody incubation time: 30-60min
Antigen repair: Heat repair (EDTA)
The DNA mismatch repair system (MMR) is composed of enzyme molecules that specifically repair DNA base mismatches. The existence of this system can ensure the integrity and stability of genetic material, prevent mutations in genetic material, and guarantee the high fidelity of DNA replication. It is composed of genes such as hMLH1, hMSH2, hPMS1, and hPMS2. hMSH2 is located on human chromosome 2p21-22 and encodes a protein composed of 934 amino acids. Mutations in the hMSH2 gene occur in sporadic colorectal cancer, and microsatellite mutations in the hMSH2 gene are approximately 50% familial. Non-familial polyposis is associated with colorectal cancer (HNPCC).
The MSH2 antibody reagent can specifically bind to the MSH2 molecular antigen. The immunohistochemical kit containing the MSH2 antibody reagent is suitable for the precise diagnosis of Lynch syndrome (HNPCC) and microsatellite instability (MSI-H) tumors.