95018525761100

95018525761100
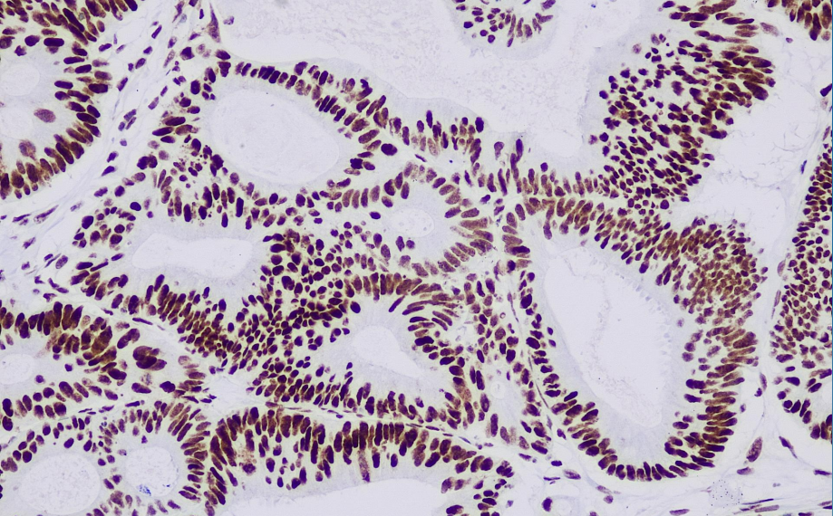
Clone number: EP49
isotype: rabbit monoclonal antibody
Cellular localization: nucleus
Tissue: paraffin/frozen
Positive control: Colorectal cancer
Antibody incubation time: 30-60min
Antigen repair: Heat repair (EDTA)
Mismatch repair genes are responsible for the repair of base mismatches in cells, and MSH6 and MSH2 form a heterodimer that can bind to DNA containing G/T mismatches. If mutated, it leads to genomic instability and microsatellite instability. The development of many tumors (especially colorectal/rectal cancers) is associated with abnormalities in the mismatch repair gene MSH6.
The MSH6 antibody reagent can specifically bind to the MSH6 molecular antigen. The immunohistochemical kit containing the MSH6 antibody reagent is suitable for the precise diagnosis of Lynch syndrome (HNPCC) and microsatellite instability (MSI-H) tumors.