180323121209

180323121209
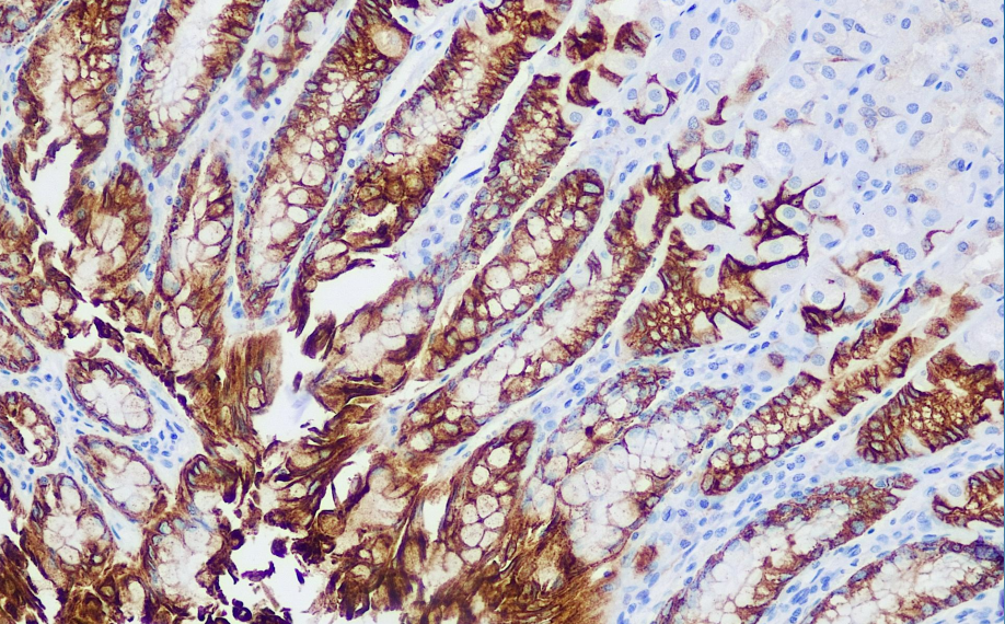
Clone number: EP362
isotype: rabbit monoclonal antibody
Cellular localization: cytoplasm
tissue: paraffin/frozen
Positive control: Stomach
Antibody incubation time: 30-60min
Antigen repair: Heat repair (EDTA)
Mucins mucins are the main components of mucus and are widely distributed on the surface of mucous membranes of the digestive tract, respiratory tract, and genitourinary system, where they play a protective and lubricating role for cells. Expression or abnormal expression of MUC5AC protein can be observed in precancerous or cancerous tissues of colon, stomach, gallbladder, and non-small cell lung cancer.
The MUC-5AC antibody reagent can specifically bind to the MUC-5AC molecular antigen. The immunohistochemical kit containing the MUC-5AC antibody reagent is suitable for the precise diagnosis of colon cancer and gastric cancer.