95017765721100

95017765721100
Clone number: MRQ-20
isotype: mouse monoclonal antibody
Cellular localization: cytoplasm
tissue: paraffin/frozen
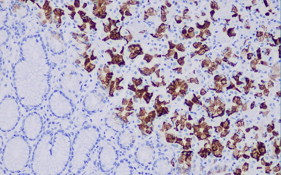
Positive control: Stomach
Antibody incubation time: 30-60min
Antigen repair: Heat repair (EDTA)
The Muc-6 gene, one of the mucin genes that make up the gastric mucosa, is normally expressed in the glands at the base of the gastric antrum, and its expression tends to be down-regulated in gastric pre-cancerous lesions and gastric cancer tissues.
The MUC-6 antibody reagent can specifically bind to the MUC-6 molecular antigen. The immunohistochemical kit containing the MUC-6 antibody reagent is suitable for the precise diagnosis of gastric differentiated tumors (such as gastric adenocarcinoma, pancreatic ductal adenocarcinoma and certain mucinous ovarian cancers).