104519196601210

104519196601210
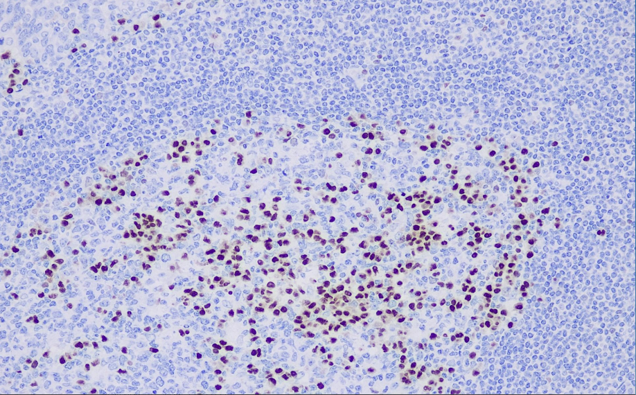
Clone number: EP190
isotype: rabbit monoclonal antibody
Cellular localization: nucleus
reactivity: paraffin/frozen
Positive control: tonsils
Antibody incubation time: 30-60min
Antigen repair: Heat repair (EDTA)
MUM1 protein is a 50 kD protein encoded by the multiple myeloma oncogene. It has been shown that when B cells enter the germinal center, Bcl-6 appears immediately, MUM1 is expressed at the terminal stage of differentiation, and finally CD138 is expressed at the plasma cell stage.The combination of the 3 antibodies provides a reference for determining the origin of tumor cells from different different stages of differentiation of B cells. Mainly used for the labeling of multiple myeloma, lymphoplasmacytic lymphoma, diffuse large cell lymphoma.
MUM1 antibody reagent can specifically bind to MUM1 molecular antigen. Immunohistochemical kits containing MUM1 antibody reagent are suitable for the precise diagnosis of multiple myeloma, lymphoplasmacytic lymphoma and diffuse large cell lymphoma.