238456165275

238456165275
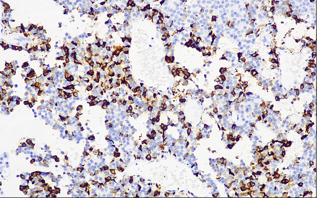
Clone number: 2F6
Isotype: mouse monoclonal antibody
Cellular localization: cytoplasm
Adaptive tissue: paraffin/frozen
Positive control: Pituitary gland
Antibody incubation time: 30min
Antigen repair: heat repair (EDTA)
ACTH is a hormone secreted by anterior pituitary cells. This antibody reacts with human ACTH and also cross-reacts with ACTH from a variety of mammals. It can be used to functionally classify pituitary adenomas, and can be used in studies to differentiate between primary and metastatic pituitary tumors. Some neuroendocrine tumors, such as pheochromocytoma, may also show a positive reaction.
ACTH Antibody Reagent binds specifically to ACTH molecular antigen. Immunohistochemistry kits containing ACTH Antibody Reagent are suitable for classification of the functionality of pituitary adenomas as well as for precise diagnosis of primary and metastatic pituitary tumors.