361684220418

361684220418
Clone number: IP640
isotype: rabbit monoclonal antibody
Cellular localization: cytoplasm
Tissue: paraffin/frozen
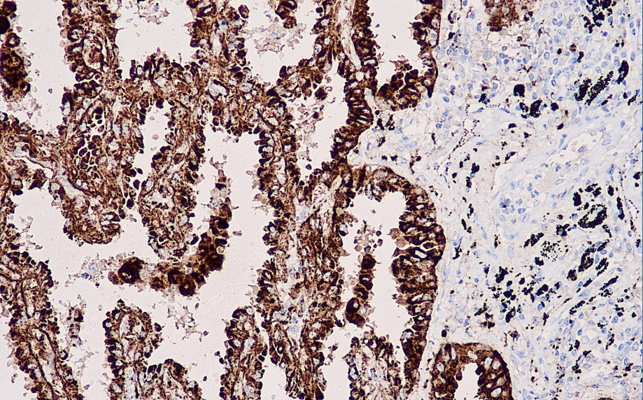
Positive control: Lung adenocarcinoma
Antibody incubation time: 30-60min
Antigen repair: Heat repair (EDTA)
NapsinA is A gastric enzyme-like aspartic acid protease, which is divided into two types: NapsinA and Napsin B. NapsinA is a single-chain protein with a molecular weight of approximately 38kDa. It is highly expressed in the lungs and kidneys and lowly expressed in the spleen. Napsin A is expressed in type II alveoli and lung adenocarcinoma. Its specific high expression in lung adenocarcinoma helps to distinguish lung adenocarcinoma from adenocarcinoma of other sources and other types of lung cancer.
Napsin A antibody reagent can specifically bind to the Napsin A molecular antigen. The immunohistochemical kit containing Napsin A antibody reagent is suitable for the precise diagnosis of lung adenocarcinoma and squamous cell carcinoma.