3mL(Ⅰ-01)6mL(Ⅰ-02)6491166

3mL(Ⅰ-01)6mL(Ⅰ-02)6491166
Clone number:
Homozygous:
Cellular localization: nucleus/plasmid
Tissue: paraffin/frozen
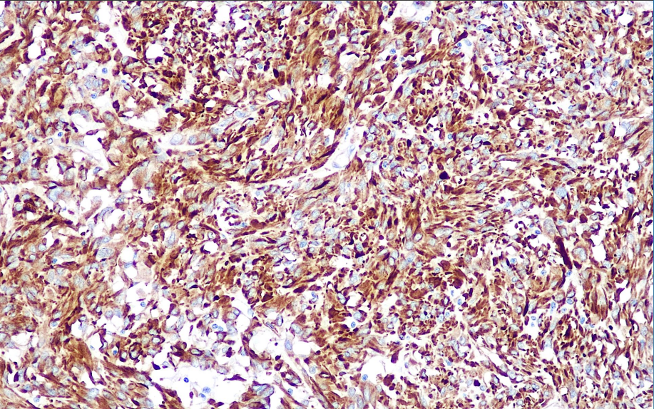
Positive control: Gastrointestinal mesenchymal stromal tumor
Antibody incubation time: 30-60min
Antigen repair: Heat repair (EDTA)
Nestin is a kind of intermediate filament protein, which exists in neuroepithelial stem cells with multidirectional differentiation potential during embryonic development. This antibody has a strong specificity and is mainly used to determine whether the tumor cells are of primitive neuroectodermal origin, and the positive sites are cytoplasm and protrusions, such as primitive neuroectodermal tumors, medulloblastomas and other naïve tumor cell components are positive.
Nestin antibody reagents can specifically bind to Nestin molecular antigens. Immunohistochemical kits containing Nestin antibody reagents are suitable for the precise diagnosis of glioblastoma and melanoma (primary melanoma and metastatic melanoma).