380694242440

380694242440
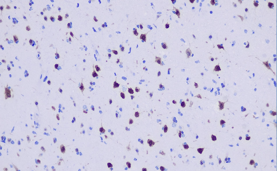
Clone number: A60
isotype: mouse monoclonal antibody
Cellular localization: nucleus
Tissue: paraffin/frozen
Positive control: brain
Antibody incubation time: 30-60min
Antigen repair: Heat repair (EDTA)
NeuN antibody specifically binds to antigen in the nuclei of neuronal cells and is expressed positively in pyramidal and granular neurons of normal brain tissue, but not in cerebellar Purkinje cells. It should be noted that NeuN is expressed only in neurons that tend to mature. This antibody-specific expression can be used to identify neuronal components in normal tissues as well as tumors.
NeuN antibody reagents can specifically bind to NeuN molecular antigens. Immunohistochemical kits containing NeuN antibody reagents are suitable for the assessment of neuronal survival in central nervous system tumors (such as ganglioma and glial neuronal tumors) and neurodegenerative diseases (such as Alzheimer's disease).