7121358429825

7121358429825
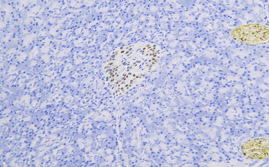
Clone number: EP336
Isotype: rabbit monoclonal antibody IgG
Cellular localization: nucleus
Tissue: paraffin/frozen
Positive Control: Pancreas
Antibody incubation time: 30-60min
Antigen repair: Heat repair (EDTA)
NKX2.2 is a homologous domain transcription factor that regulates cell differentiation and can regulate the differentiation of oligodendrocytes, pancreatic secretory cells, pituitary gland and gastrointestinal tract. It plays an important role in the differentiation and maturation of pancreatic islet β cells and the formation of normal pancreatic islet structure. In small blue round cell tumors, Ewing's sarcoma has upregulated NKX2.2 expression due to the effect of the EWS-FLI1 fusion protein, while other small blue round cell tumors show low expression. It can be used in combination with other antibodies for differential studies.
The NKX2.2 antibody reagent can specifically bind to the NKX2.2 molecular antigen. The immunohistochemical kit containing the NKX2.2 antibody reagent is suitable for the precise diagnosis of primitive neuroectodermal tumors (such as Ewing sarcoma) and neuroendocrine tumors (such as small cell lung cancer).