437836297506

437836297506
Clone number: polyclonal
isotype: rabbit polyclonal antibody
Cellular localization: nucleus
Tissue: paraffin/frozen
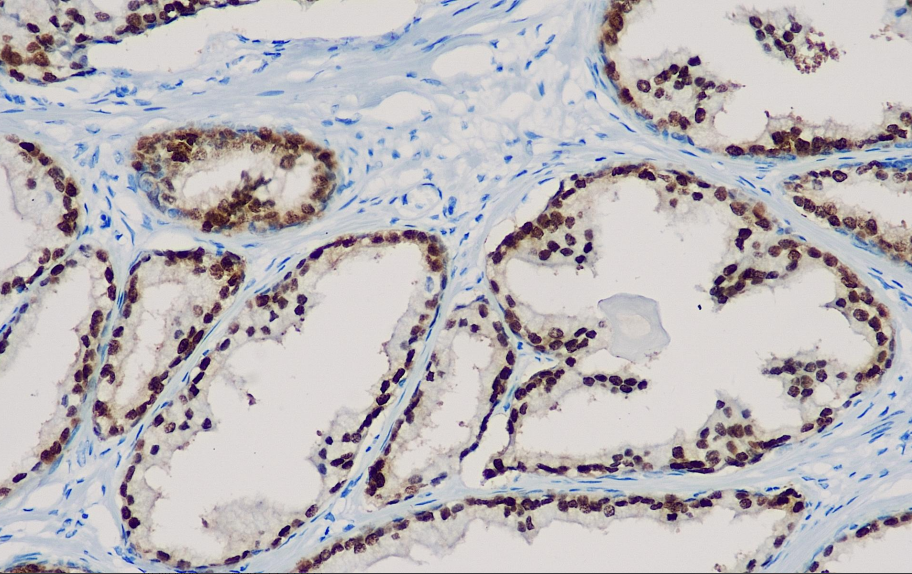
Positive control: Prostate
Antibody incubation time: 30-60min
Antigen repair: Heat repair (EDTA)
NKX3.1 is a prostate-specific androgen regulatory homeobox gene located on chromosome 8p. High-grade prostate cancer and high-grade urothelial carcinoma samples stained with HE are difficult to distinguish. Currently, prostate cancer markers such as PSA and PSAP can effectively determine whether prostate cancer originates from the prostate or other locations, but they have relatively low sensitivity in differentiating poorly differentiated or well-differentiated cases. NKX3.1 is a sensitive and specific tissue marker that can distinguish prostate cancer from urothelial carcinoma. At present, thrombomodulin and uroplakin are used to identify tumors of urothelial origin, but their sensitivity is not good. NKX3.1 is a sensitive and specific tissue marker for prostate cancer, which can be used to distinguish prostate cancer, urothelial carcinoma and unknown primary lesions.
The NKX3.1 antibody reagent can specifically bind to the NKX3.1 molecular antigen. The immunohistochemical kit containing the NKX3.1 antibody reagent is suitable for the precise diagnosis of prostate cancer.