5221016319605

5221016319605
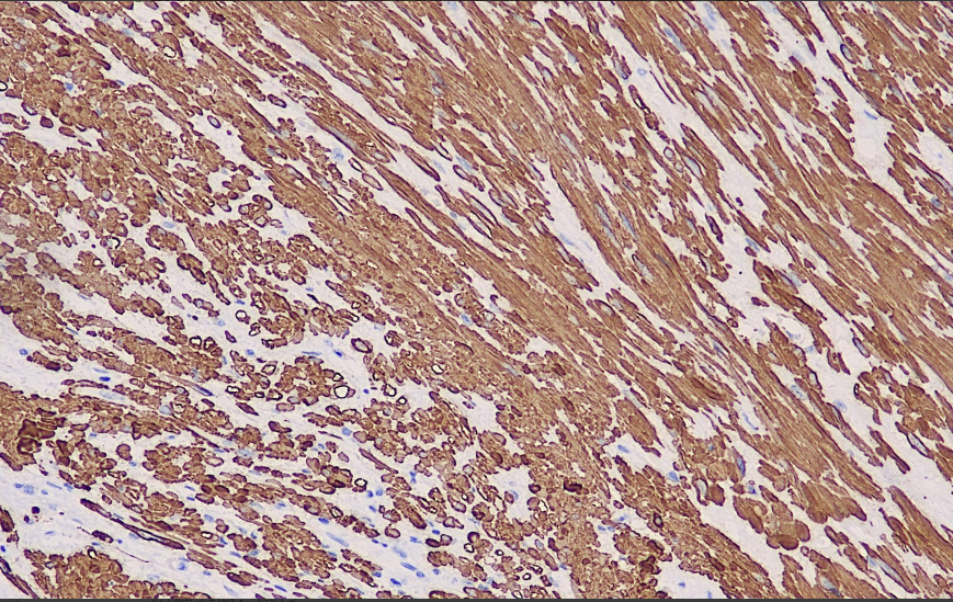
Clone number: HHF35
isotype: mouse monoclonal antibody
Cellular localization: cytoplasm
tissue: paraffin/frozen
Positive control: appendix
Antibody incubation time: 30-60min
Antigen repair: Heat repair (EDTA)
Actin is a microfilament protein with the ability to contract and is a major component of the myocyte cytoskeleton. Actin can be classified into three types according to its isoelectric point from low to high: alpha, beta, and gamma.MSA recognizes alpha actin and gamma actin in skeletal, cardiac, and smooth muscle. It can be used in the study of skeletal, cardiac and smooth muscle and tumors of their origin. Non-muscle cells such as vascular endothelial cells and connective tissue do not react with it. Therefore, tumors of non-muscle origin such as epithelial tumors, melanomas, and lymphomas are negatively tabulated for this antibody.
Actin Antibody Reagent binds specifically to Actin molecular antigen. Immunohistochemistry kits containing Actin Antibody Reagent are indicated for the precise diagnosis of tumors of skeletal, cardiac and smooth muscle and their origin.