6461149429748

6461149429748
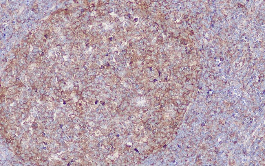
Clone number: UMAB92
Isotype: see label
Cellular localization: cytoplasm
Applicable tissues: paraffin/frozen
Positive control: tonsils
Antibody incubation time: 30-60min
Antigen repair: heat repair (EDTA)
nm23 is an anti-metastatic gene, and its reduced expression, allelic deletion and distribution characteristics of nm23 are associated with high metastatic ability and recurrence of tumors. Detection of nm23 in certain tumors (e.g., breast cancer, thyroid cancer, gastrointestinal tract tumors, etc.) can help to determine the prognosis of patients, and has a positive guiding significance for clinical treatment.
The nm23 antibody reagent can specifically bind to the nm23 molecular antigen. The immunohistochemical kit containing the nm23 antibody reagent is suitable for the assessment of the metastatic potential of tumors (such as breast cancer, gastric cancer, and melanoma).