95018055941100

95018055941100
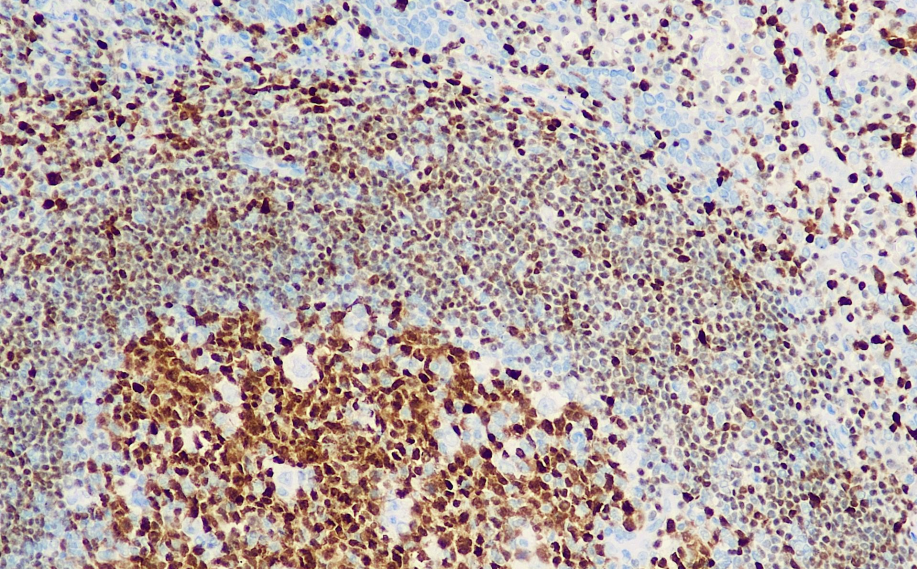
Clone number: EP115
isotype: rabbit monoclonal antibody
Cellular localization: nucleus
reactivity: paraffin/frozen
Positive control: tonsils
Antibody incubation time: 30-60min
Antigen repair: Heat repair (EDTA)
Oct-2 is a transcriptional activator required for the expression of B-cell immunoglobulin genes. It is usually expressed in the nucleus of B cells, including plasma cells (the expression of Bob.1 is stronger than that of Oct-2). This antibody is generally used in combination with Bob.1 and is mainly applied in the research of Hodgkin's lymphoma and large B-cell lymphoma. Some T-cell lymphomas can also be Oct-2 positive.
Oct-2 antibody reagents can specifically bind to Oct-2 molecular antigens. Immunohistochemical kits containing Oct-2 antibody reagents are suitable for the precise diagnosis of Hodgkin's lymphoma and large B-cell lymphoma.