127323758801474

127323758801474
Clone number:
Isotype:
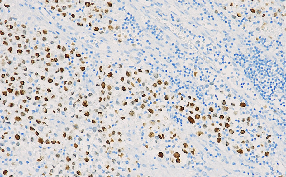
Cellular localization: nucleus
Adaptive tissue: paraffin/frozen
Positive control: Spermatogonial tumor
Antibody incubation time: 30-60min
Antigen repair: Heat repair (EDTA)
OCT-4 is a POU-structured transcription factor located on chromosome 6p21.3. It is strongly expressed in embryonic stem cells and germ cells but weakened in all differentiated somatic cells. It binds to transcription sites through octamer motifs, including fibroblast growth factor 4 and platelet derivative growth factor alpha receptors. It is mainly used to express seminoma, central system germ cell tumors, ovarian asexual cell tumors and embryonal carcinoma. It is used for the research of clear cells in yolk sac tumors and ovarian epithelial-derived clear cell carcinomas, as well as for distinguishing germ cells from sex cord stromal cells in gonadoblastomas.
The Oct4 antibody reagent can specifically bind to the Oct4 molecular antigen. The immunohistochemical kit containing the Oct4 antibody reagent is suitable for the precise diagnosis of cytic tumors (such as seminoma and asexocytoma) and embryonal carcinoma.