6181140407715

6181140407715
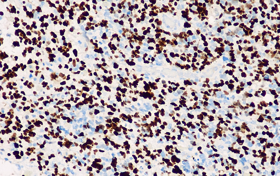
Clone number: EP112
isotype: rabbit monoclonal antibody
Cellular localization: nucleus
Tissue: paraffin/frozen
Positive control: oligodendroglioma
Antibody incubation time: 30-60min
Antigen repair: Heat repair (EDTA)
Expressed in normal oligodendrocytes as well as tumorigenic oligodendrocytes, with the nucleus as the site of positivity. Tumorigenic astrocytes can also be positively expressed, but with lighter coloring than oligodendrocytes. Mainly used in the diagnosis of oligodendrocyte tumors.
Olig2 antibody reagents can specifically bind to Olig2 molecular antigens. Immunohistochemical kits containing Olig2 antibody reagents are suitable for the precise diagnosis of oligodendrocyte tumors.