6651254451770

6651254451770
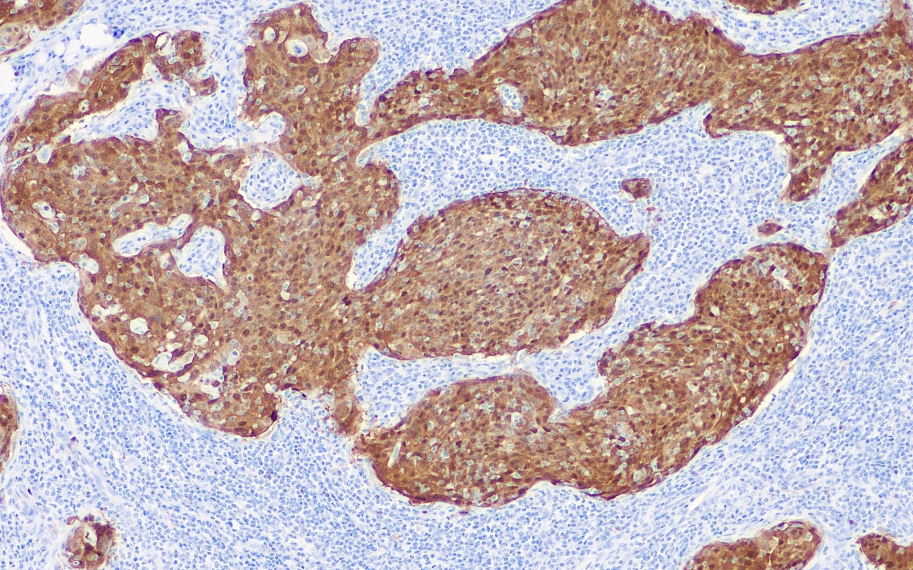
Clone number: 1C1
isotype: mouse monoclonal antibody
Cellular localization: nucleus/plasmid
Tissue: paraffin/frozen
Positive control: Cervical cancer
Antibody incubation time: 30min
Antigen repair: Thermal repair (EDTA)
p16, also known as "mitotic inhibitor", is one of the cell cycle regulatory proteins. Its function is to competitively bind to CDK4/6 with cyclin D, preventing cells from advancing from the G1 phase to the S phase, thereby negatively regulating mitosis. In tumor cells, due to gene mutations or deletions, the expression of p16 often increases. p16 is closely related to cervical cancer caused by HPV infection. The p16 staining results of high-risk squamous epithelial injury (HSIL) are often strong and complete staining of the cervical epithelium, while weak and moderate staining tends to be the staining results of low-risk squamous epithelial injury (LSIL), and normal cervical epithelium hardly expresses it. Therefore, p16 is helpful for studying the grading of cervical epitheliomatoid changes.
The p16 antibody reagent can specifically bind to the p16 molecular antigen. The immunohistochemical kit containing the p16 antibody reagent is suitable for the precise diagnosis of HPV-related tumors (such as cervical cancer, head and neck squamous cell carcinoma) and certain solid tumors (such as melanoma, pancreatic cancer).