532998352616

532998352616
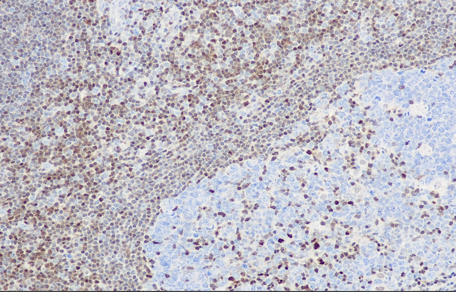
Clone number: SX53G8
Isotype: mouse monoclonal antibody IgG1/K
Cellular localization: nucleus
Tissue: paraffin/frozen
Positive control: tonsils
Antibody incubation time: 60min
Antigen repair: Thermal repair (citric acid)
p27 is an inhibitory factor that regulates cell cycle mitosis. It regulates the process of the cell cycle from the G1 phase to the S phase by binding to or inhibiting cyclins or cyclin-dependent kinases. Low expression of p27 is generally accompanied by a poor prognosis, such as renal cell carcinoma, colon cancer, non-small cell lung cancer, liver cancer, multiple myeloma, lymph node metastasis of papillary thyroid carcinoma, cancer and malignant phenotype cervical cancer. It is mainly used in the research of various malignant tumors.
The p27 antibody reagent can specifically bind to the p27 molecular antigen. The immunohistochemical kit containing the p27 antibody reagent is suitable for prognosis assessment of tumors (such as breast cancer, prostate cancer, and gastrointestinal stromal tumors).