475902308550

475902308550
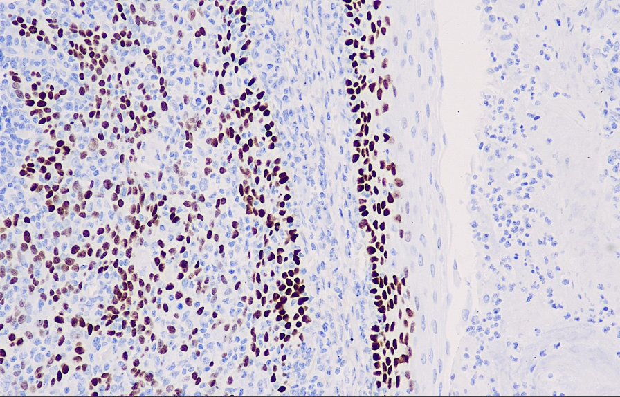
Clone number: BC28
Isotype: mouse monoclonal antibody IgG
Cellular localization: nucleus
Tissue: paraffin/frozen
Positive control: tonsils
Antibody incubation time: 30min
Antigen repair: Heat repair (EDTA)
p40 is one of the subtypes of the p63 protein. p63, as a commonly used reference for squamous cell carcinoma, has extremely high sensitivity. However, due to cross-reactions with a considerable number of lung adenocarcinomas and other tumors (especially lymphoma), its specificity is relatively low. Compared with p63, the sensitivity of p40 in lung squamous cell carcinoma is comparable to that of p63, but it is almost not expressed in lung adenocarcinoma and lymphoma, so its specificity is also very high. Therefore, p40 may replace p63 in the study of lung squamous cell carcinoma.
The p40 antibody reagent can specifically bind to the p40 molecular antigen. The immunohistochemical kit containing the p40 antibody reagent is suitable for prognosis assessment of squamous cell carcinoma (such as lung squamous cell carcinoma and head and neck squamous cell carcinoma).