285551176330

285551176330
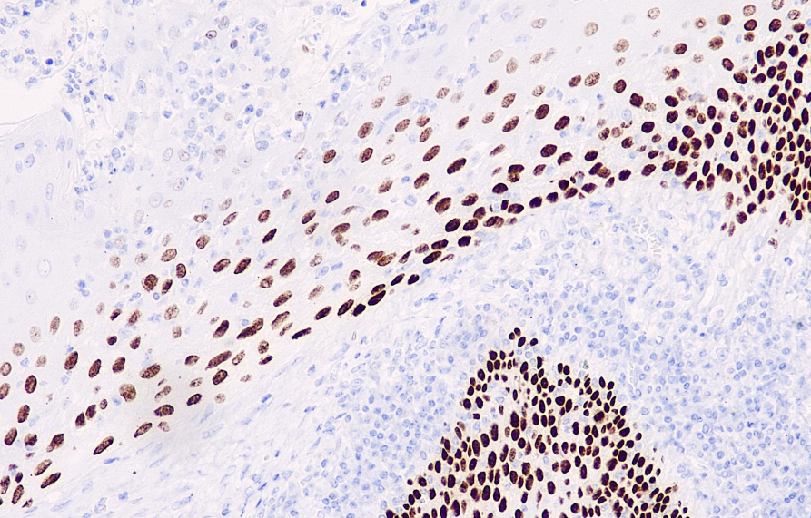
Clone number: B18
isotype: rabbit monoclonal antibody
Cellular localization: nucleus
Tissue: paraffin/frozen
Positive control: tonsils
Antibody incubation time: 30min
Antigen repair: Heat repair (EDTA)
p63 is a homologous gene of the tumor suppressor gene p53, located on chromosome 3q27-28, encoding more than six isomers, which respectively possess transcriptional kinase activity, death induction activity (TAP63), and chromogenic inactivation activity. It is highly expressed in the basal layer of many epithelial tissues. It is expressed in myoepithelial cells of all normal mammary glands, partially in ductal proliferative cells, and in very small amounts in breast cancer in situ. It is not expressed in invasive ductal carcinoma. The absence of p63 expression may have a certain correlation with the progression of ductal carcinoma of the breast. Therefore, p63 immunohistochemical staining is helpful for the study of invasive ductal carcinoma of the breast, ductal carcinoma in situ, and a small number of suspected ductal hyperplastic injuries and other diseases. Recent studies have shown that p63 serves as a reference for prostate basal cells, but it is not expressed in the vast majority of prostate tumors. This antibody is mainly used in the research of benign and malignant lesions of the breast and prostate.
The p63 antibody reagent can specifically bind to the p63 molecular antigen. The immunohistochemical reagent kit containing the p63 antibody reagent is suitable for the precise diagnosis of head and neck squamous cell carcinoma, lung squamous cell carcinoma and breast triple-negative carcinoma, etc.